
Le ligament croisé crânial du chien est l’équivalent du ligament croisé antérieur de l’homme. Il se situe donc dans l’articulation du genou, au niveau des pattes arrières.
La rupture du ligament croisé crânial est l’une des causes les plus fréquentes de boiterie postérieure du chien. Elle peut intervenir soit brutalement, soit de manière progressive. Dans un cas comme dans l’autre, elle cause à l’animal une douleur vive, et donc une boiterie.
Comment fonctionne le genou du chien ? Quelles activités présentent un risque de rupture des ligaments croisés du chien, et comment cette dernière se manifeste-t-elle ? Peut-on soigner un chien victime d’une rupture des ligaments croisés ?
Chez le chien comme chez l'humain, le genou est une articulation complexe composée du fémur, du tibia, de la rotule, et de l'os sésamoïde. Le ménisque quant à lui est le cartilage situé entre le fémur et le tibia, absorbant les chocs.
Plusieurs ligaments assurent le maintien et la mobilité du genou. En particulier, joignant le fémur et le tibia, et formant un X au cœur de l’articulation (d’où leur nom de ligaments « croisés »), se trouvent ainsi :
Les causes de la rupture du ligament croisé crânial peuvent être classées en deux grandes catégories : les ruptures brutales dues à un traumatisme, et les ruptures partielles chroniques évolutives.
Dans le cas d’une rupture traumatique, le ligament cède lors d’un choc associé à une rotation excessive de l’articulation. On observe ce type de lésion principalement chez les chiens sportifs lors d’un effort violent, ou en cas d’accident.
Les ruptures partielles chroniques évolutives sont plus insidieuses. La dégradation du ligament peut commencer très jeune (parfois dès l’âge d’un an) et s’aggrave avec le temps, provoquant une inflammation et une arthrose marquées, jusqu’à la rupture complète du ligament. Cette dernière peut alors survenir aussi bien lors d’une promenade tranquille que lors d’un effort ou d’un accident. Les signes sont parfois discrets avant la rupture, et cette blessure est d’ailleurs souvent confondue avec la dysplasie de la hanche.
Par ailleurs, 40 à 60% des chiens souffrant d’une rupture du ligament croisé crânial développent le même problème dans l’autre genou dans un délai d’un an.
Qu’il s’agisse de rupture traumatique ou de rupture partielle chronique évolutive, le risque de rupture des ligaments croisés est accru par certains facteurs :
La conformation physique de certains chiens les rend davantage susceptibles d’être victimes d’une rupture des ligaments croisés. Certaines études tendent ainsi à démontrer que les races de gros chiens sont plus touchées que les autres par la rupture du ligament croisé crânial : c’est le cas en particulier du Terre-Neuve et du Labrador Retriever, mais aussi d’autres races comme le Golden Retriever, le Rottweiler, l’Akita Inu, le Mastiff, le Saint-Bernard ou encore l’American Staffordshire Terrier (Amstaff).
La prédisposition à la rupture du ligament croisé chez ces races est favorisée par la forme de leur grasset (genou), et notamment par une pente de plateau tibial importante : le degré d’inclinaison du tibia par rapport au fémur est plus prononcé que chez les autres races. Autrement dit, il est plus proche de l’horizontale. Cette conformation amplifie les contraintes exercées sur le ligament croisé, et augmente donc le risque de dégénérescence progressive de ce dernier.
De manière générale, la boiterie d'un chien est le principal symptôme d’une rupture des ligaments croisés.
En tout état de cause, en cas de rupture partielle évolutive, il n’y a pas forcément de signes précurseurs évidents de la dégradation du ligament avant sa rupture complète. Cependant, on peut tout de même observer :
Ces symptômes peuvent varier en fonction du sujet, et de l’avancement de la rupture.
En l’absence de soins, la boiterie aura tendance à s’améliorer au fil des semaines, mais le genou enflera et l’arthrite s’installera très rapidement dans l’articulation.
Il est cependant possible de soigner un chien quel que soit l’avancement de la blessure, que ce soit juste après le début de la boiterie ou des mois plus tard.
L’intervention du vétérinaire est impérative pour poser un diagnostic.
Chez les petites races, il lui est parfois possible de diagnostiquer la rupture simplement par une palpation et l’examen de la démarche. Néanmoins, le plus souvent, et même systématiquement pour les grandes races, une anesthésie générale est effectuée car la contraction des muscles (par la douleur et le stress) empêche la palpation.
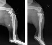
L’arthrite s’installe très rapidement (quatre semaines en moyenne) à la suite de la rupture du ligament croisé. Des radios de l’articulation sont donc souvent nécessaires pour évaluer le niveau d’atteinte. Elles permettent aussi de détecter une éventuelle lésion du ménisque, et localiser d’éventuels fragments d’os s’étant décrochés du tibia lors du déchirement. Là aussi, une anesthésie générale est nécessaire pour éviter que le chien ne bouge pendant le processus.
Dès lors que le chien peut être opéré, l’opération chirurgicale est incontournable pour aboutir à un résultat satisfaisant. En effet, dans tous les cas, le ligament ne se répare pas lui-même, même si le déchirement n’est encore que partiel. Par ailleurs, contrairement aux humains, une greffe ne peut être pratiquée, car elle est beaucoup moins fiable.
La chirurgie bénéficie d’un pronostic très bon à excellent (85 à 90% de réussite) lors d’une prise en charge précoce. En revanche, lorsque les soins sont différés et/ou lorsque le ménisque a subi une lésion, l’installation de l’arthrose influe négativement sur le pronostic.
Il existe à ce jour deux types d’opération : la suture et l'ostéotomie.
Les techniques basées sur la suture sont plus adaptées pour les petits chiens et les chiens légers. Elles sont principalement réalisées de manière extra-articulaire (hors de l’articulation), la technique intra-articulaire (dans l’articulation) ayant donné des résultats inconstants.
Elles sont au nombre de deux :
Les techniques fondées sur une ostéotomie (coupe osseuse) modifient la biomécanique de l’articulation du genou en changeant l’action des muscles sur le haut du tibia. Elles présentent de meilleurs résultats chez les grands chiens, et permettent de réduire la progression de l’arthrite, qui n’en reste pas moins inévitable.
Elles conduisent à l’implantation d’une plaque osseuse de pontage et de vis qui ne seront plus nécessaires après la guérison, mais ne seront que très rarement retirées.
Là encore, elles sont au nombre de deux :
A ce jour, aucune étude ne prouve que l’une ou l’autre de ces deux techniques est préférable. Le choix dépend uniquement du chirurgien et de son expérience technique personnelle.
Lorsque la chirurgie est impossible, que ce soit du fait de l’état du chien (par exemple s’il est malade et/ou trop faible) ou de contraintes financières, on peut envisager une combinaison de médicaments contre la douleur, des compléments alimentaires aidant au rétablissement, de la rééducation physique, et éventuellement des orthèses (attelles).
Cependant, si les anti-inflammatoires et la rééducation sont utiles au rétablissement après une opération, il n’y a en revanche aucune preuve qu’il s’agisse d’une alternative cohérente à la chirurgie. De plus, ils ne soulagent pas la douleur causée par une éventuelle lésion du ménisque. Quant aux orthèses du genou, elles sont relativement nouvelles en orthopédie canine, et aucune étude à ce jour ne prouve leur efficacité chez les chiens victimes d’une rupture du ligament croisé crânial.
Quel que soit le traitement adopté, certaines mutuelles pour animaux assurent la prise en charge de la rupture du ligament croisé. Il peut donc être judicieux de vérifier ce point au moment de souscrire une assurance santé pour son chien, en particulier s’il appartient à une race à risque.
La convalescence du chien après une opération des ligaments croisés est assez contraignante et longue : il faut compter quatre à huit mois avant d’obtenir un résultat optimal, quelle que soit la technique opératoire utilisée.
Pendant les premières semaines suivant l’opération, un traitement médicamenteux est prescrit par le vétérinaire afin d’éviter une infection et atténuer la douleur.
Par ailleurs, le chien sera dans un premier temps confiné au sein d’un espace restreint, afin de limiter au maximum ses déplacements et le forcer au repos. Pour les chiens très énergiques, le vétérinaire prescrira parfois des calmants.
Pendant les deux premiers mois suivant l’opération, il faudra tenir le chien convalescent en laisse courte lors de ses sorties, de manière à éviter tout mouvement incontrôlé qui pourrait avoir de graves conséquences, pouvant aller jusqu’à nécessiter une nouvelle opération. Les sorties seront aussi brèves que possible au début, de manière à éviter les efforts.
Par ailleurs, quelle que soit la chirurgie pratiquée, l’arthrose continuera de progresser : une prise en charge est essentielle pour essayer de limiter son évolution.
Enfin, lorsque le chien a beaucoup souffert du fait de la rupture du ligament, il s’en souvient après l’opération. De ce fait, il est parfois réticent à utiliser à nouveau sa jambe blessée et peut trouver plus confortable de ne pas s’en servir, en sautillant sur trois pattes. Or ceci est à éviter, d’une part parce que cela risque de détériorer l’articulation de l’autre genou, et d’autre part parce que cela ralentit considérablement le temps de guérison.
Dans une telle situation, il est possible de faire faire au chien des exercices spécifiques de rééducation physique pour l’inciter à réutiliser la patte opérée et accélérer le rétablissement. Ces exercices peuvent être par exemple :
La rupture du ligament croisé crânial est douloureuse pour le chien, et son traitement chirurgical est coûteux, puis suivi d’une convalescence longue et contraignante. Par ailleurs, bien que certaines races y soient prédisposées, elle peut arriver à n’importe quel chien, à n’importe quel âge.
Il est donc difficile de l’anticiper et de s’en prémunir. Néanmoins, pour limiter les risques de rupture du ligament croisé - et comme d’ailleurs de nombreux autres problèmes de santé du chien -, il est conseillé d’être attentif au poids de l’animal : un chien en surpoids court un risque accru de blessure.





