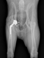
Une prothèse totale de hanche se compose d’une tête fémorale artificielle, en alliage titane ou chrome-cobalt, fixée dans le fémur, et d’une cotyle en polyéthylène. Elle recrée l’articulation atteinte.
Elle est posée chirurgicalement au cours d’une intervention durant en moyenne entre 75 et 90 minutes. Elle demande ensuite une lourde rééducation sur une période allant de 3 à 6 mois. A l’issue de cette dernière, le chien doit normalement avoir retrouvé toute sa motricité, et les douleurs avoir disparu.
On estime à plus de 95% le taux de réussite de la pose de prothèse de hanche pour chien. Les complications qui ont été constatées concernent des infections, des luxations de la hanche et des fractures du fémur ou de la cotyle.
Les prothèses de hanche pour chien sont indiquées essentiellement dans des cas sévères de dysplasie de la hanche, qui est une atteinte de l’articulation de la hanche dans laquelle la tête du fémur n’est pas bien adaptée à la cotyle, c’est-à-dire la cavité de la hanche qui lui correspond. Cette affection héréditaire peut concerner tous les chiens, mais certaines races y sont prédisposées, notamment les grandes races de chien, ainsi que quelques moyennes (Rottweiler, Terre-Neuve, Siberian Husky, etc.).
Il existe également d’autres situations qui peuvent rendre nécessaires la pose d’une prothèse totale de hanche, comme une luxations, une fracture ou la maladie de Legg-Calvé-Perthes (nécrose progressive et douloureuse de la tête du fémur).
La première prothèse de hanche pour chien fut posée en 1957. Depuis, plus de 40.000 chiens dans le monde ont bénéficié d’un tel dispositif. Les vétérinaires proposent cette solution lorsque les traitements (infiltrations, anti-inflammatoires...) ont échoué, après une destruction importante de la hanche suite à un traumatisme, ou encore dans le cas d’une maladie vasculaire résultant d’un cas de Legg-Calvé-Perthes.
La durée de vie d’une prothèse de hanche pour chien est la même que celles conçues pour les humains, c’est-à-dire 15-20 ans minimum. Autant dire que, compte tenu de l’espérance de vie des chiens, il y a peu de risques de devoir la remplacer en cours d’existence.
Cette solution est donc un bel investissement pour améliorer sensiblement la qualité de vie du chien, dans la mesure où, après la période de rééducation, il ne boîte plus et ne souffre plus. En outre, elle ne nécessite pas une prise de médicaments à long terme.
Au final, au-delà des risques de complication (avec un taux inférieur à 5%), le seul inconvénient des prothèses de hanche pour chien est leur prix élevé : il faut compter plus de 2.000 € pour une prothèse totale, sans compter les frais vétérinaires en amont et la rééducation. Les mutuelles pour animaux peuvent prendre en charge une partie de ces dépenses, selon le contrat souscrit.






mini york 12ans et demi hernie discale plus paralisie de la patte gauche
Bonjour à tous. Une fois de plus, je vous demande votre avis. Paula, ma Cane Corso, a été diagnostiquée avec une...
Paralysie train arrièreBonjour à tout le monde.. j'espère que je vais trouver de l'aide sur ce forum... ma chiendent berger australien d...
Couronnes dentaires pour un chien, est-ce une bonne idée ?Bonjour, Mon chien âgé de 5 ans a les dents abîmées, il a eu cela avant même que je l’aie adopté. J’ai tenté...