
Les maladies respiratoires chez le chien sont essentiellement de source infectieuse, bactérienne, virale ou parasitaire. Différents organes, comme les cavités nasales, le larynx, la trachée et les grosses bronches, mais aussi l’appareil respiratoire profond, comprenant les petites bronches et le tissu pulmonaire, peuvent être touchés.
Les symptômes des maladies respiratoires du chien sont à la fois très évocateurs et peu variés.
Les maladies du système respiratoire touchent certaines races plus que d'autres. En effet, les petits chiens comme le Yorkshire, le Spitz, le Bouledogue Anglais ou le Bouledogue Français sont prédisposés, souvent atteints par exemple de collapsus trachéal ou affectés du syndrome obstructif des voies respiratoires supérieures.
Ceci est malheureusement la conséquence d'une sélection ayant abouti à la fixation d'un nombre important de malformations de l'appareil respiratoire : des narines rétrécies, une déformation du larynx, des cavités étroites, un encombrement du palais...
La plupart des affections respiratoires évoluent simplement et guérissent en quelques semaines ou quelques mois. En revanche, les atteintes de l'appareil respiratoire profond (poumons, petites bronches, plèvre) sont généralement plus graves : non seulement il est plus difficile de mettre en place une thérapie efficace, mais en plus de cela, des complications peuvent apparaître, parmi lesquelles les infections respiratoires. Ces dernières sont toujours sérieuses, car les agents infectieux peuvent facilement se propager depuis les poumons dans tout l'organisme via le sang. Les séquelles sont d'ailleurs fréquentes lors de lésions étendues.
La toux est toujours le principal symptôme des maladies de l'appareil respiratoire du chien. Le vétérinaire en étudie alors l'intensité et le caractère, humide ou sec. L'écoulement nasal, les bruits respiratoires (comme les ronflements), mais aussi l'essoufflement ou la détresse respiratoire, sont les autres symptômes les plus courants.
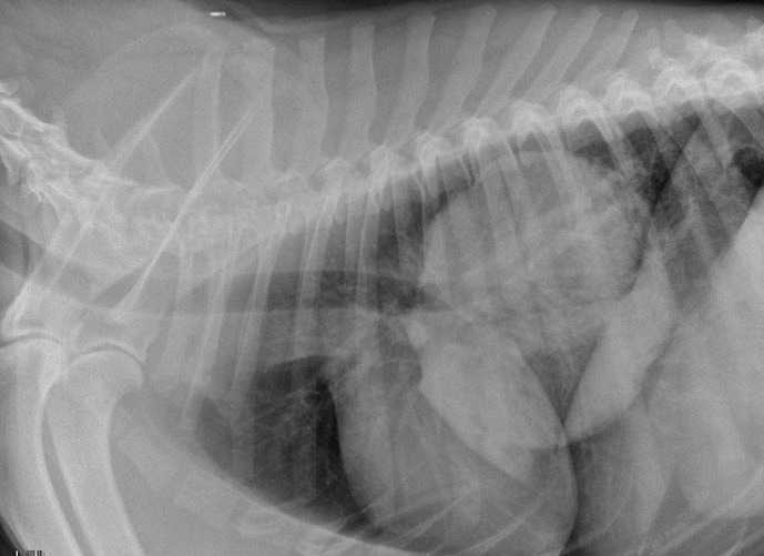
Pour détecter l'origine d'une maladie de l'appareil respiratoire du chien, le vétérinaire peut avoir recours à toute une batterie de tests :
Enfin, face à des symptômes liés au système respiratoire, une origine cardiaque est toujours envisagée, et des signes d'atteinte cardiaque sont recherchés. En effet, lorsque le coeur fonctionne mal, des modifications de la pression dans les vaisseaux sanguins ou encore du sang qui s'accumule dans les poumons peuvent gêner le bon fonctionnement de l'appareil respiraotire, et faire naître une difficulté respiratoire.
Il existe un arsenal thérapeutique très varié et vaste pour soigner les maladies de l'appareil respiratoire du chien.
Les antibiotiques sont essentiellement utilisés en cas d'infections bactériennes, et sont souvent associés à des anti-inflammatoires.
Les antitussifs sont indiqués en cas de toux irritante et sèche. Les expectorants et les mucolytiques fluidifient ainsi les secrétions et favorisent la pénétration des antibiotiques. Toutefois, la toux permet au chien d'évacuer les sécrétions en excès : la supprimer peut donc aggraver l'encombrement et provoquer une obstruction respiratoire. Les antitussifs ne doivent donc jamais être administrés en cas de toux humide ou grasse.
La chirurgie est surtout pratiquée lors de paralysie laryngée ou de syndrome obstructif, même si une chirurgie des poumons peut aussi servir à retirer l'organe atteint par une infection sévère ou encore une tumeur.
La radiothérapie est mise en place en cas de tumeur naso-sinusale, et allonge considérablement la durée de vie du chien.